In the field of dental implantology, insufficient bone volume has long posed a major clinical challenge. When dealing with cases involving narrow alveolar ridges or tight inter-dental spaces, conventional implant diameters often fall short. The WEGO Sedga Narrow Implant Series was developed precisely to address these anatomical constraints, offering a new, reliable solution for complex indications.
Why Choose a Narrow Dental Implant?
When bone volume is limited, narrow dental implants excel by providing a minimally invasive alternative. In anterior regions or cases of horizontal bone deficiency, these implants can be placed with reduced need for extensive bone grafting procedures—enhancing patient comfort and reducing healing time, while still ensuring long-term functional and aesthetic results.
The WEGO Sedga Narrow Implant Series is designed specifically for:
Limited interdental space
Narrow alveolar crest width
With thoughtful design rooted in clinical needs, Sedga maintains the trusted stability of previous WEGO implant systems, while introducing refined features to meet the demands of modern dental implant therapy.

Key Design Features
- External Insertion Groove: The external driver design improves anti-fracture strength and minimizes damage to internal structures during placement.
- Micro-Ring Neck: Reduces cortical bone stress during insertion, preserves crestal bone height, and increases bone-to-implant contact area.
- Advanced Thread Geometry
- Deep threads: Enhance primary stability via lateral bone compression
- Dual-thread: Increases insertion efficiency
- Asymmetric thread shape: Optimizes stress distribution, reduces bone resorption risk
- Micro-Tapered Shoulder: Promotes elastic rebound of bone and enhances soft tissue support for improved esthetics.
- Root-Mimicking Body: Simulates natural tooth morphology for greater cutting stability and simplified surgical workflow in complex bone conditions.
- Self-Tapping Design
- Dual-cutting flutes: Efficiently accommodates bone debris and reduces compression
- Sharp apex: Eases insertion and increases surgical accuracy
Clinical Indications & Advantages
- Minimal diameter of Φ3.0mm addresses interdental width constraints without bone augmentation, simplifying treatment.
- Two-stage design allows for angled abutments, achieving superior esthetic outcomes.
- Morse taper connection with press-fit abutment ensures high mechanical stability and minimizes bone resorption and inflammation.
- Proven mechanical strength: The Φ3.0mm implant with a 25° angled abutment has passed 5 million cycles of 30° lateral load testing with no failure at the implant-abutment interface.
Clinical Case Highlight
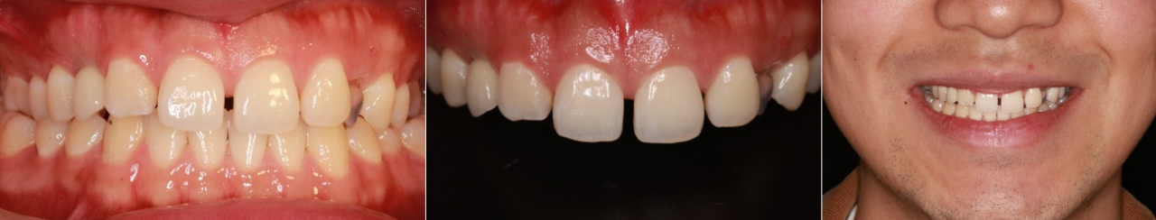
Patient: Male, 20 years old
Date: May 11, 2021
Diagnosis: Retained primary upper central incisors with esthetic and functional concerns

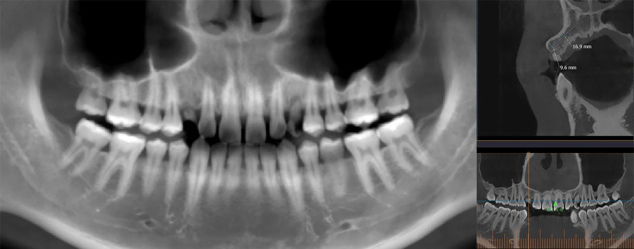
CBCT Assessment:
Tooth 13 area: Bone height ~16mm, width ~9mm
Available interdental space ~6mm
No major complications in opposing dentition

Treatment Summary:
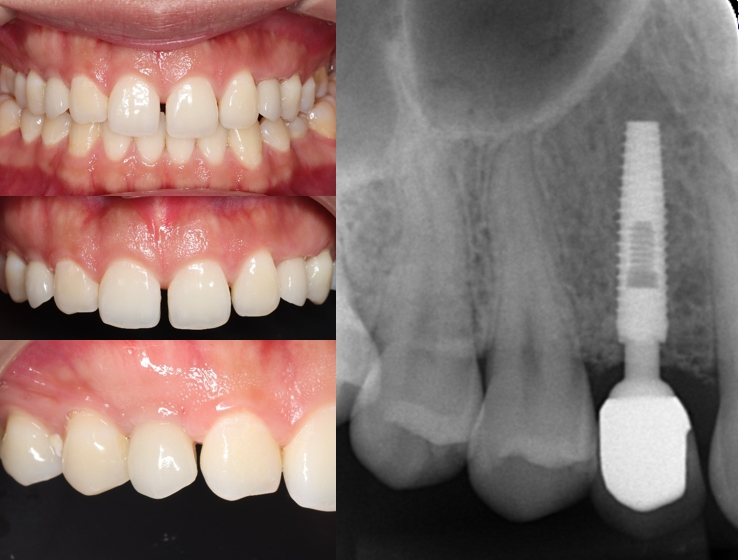
Guided placement of WEGO Sedga Φ3.0×12mm dental implant in site 13
Insertion torque: 28 N.cm

Three-month follow-up ISQ values: 71–73 (high stability)
Final restoration: Zirconia crown with excellent esthetic and functional results

Outcome:
Stable implant and healthy gingiva
Satisfactory esthetics and patient satisfaction

One-year follow-up: No complications, stable crestal bone level, no prosthetic loosening or tissue recession

Clinical Value
Streamlined treatment for narrow gaps (e.g., 6mm in the anterior region), avoiding unnecessary orthodontic or augmentation procedures
Efficient restoration with secure abutment connection, minimal chair time, and low complication risk
Conclusion
The WEGO Sedga Narrow Dental Implant Series offers a clinically proven, minimally invasive solution for challenging narrow-ridge cases. With its precision design and outstanding mechanical reliability, it brings greater confidence to clinicians and better outcomes to patients. Contact us now to know specifics!





